Serenity Dental

Welcome to Serenity Traveling Dental Hospital, where exceptional dental care meets the adventure of exploring Nepal. Heal, smile, and discover—all in one unforgettable journey!

Introduction

At Serenity Traveling Dental Hospital, we provide clients from across the globe with top-tier dental care, all while immersing them in the beauty and culture of Nepal. Nestled in the land of the Himalayas, Nepal offers more than just stunning views—its peaceful atmosphere and rich traditions create the perfect backdrop for healing and relaxation. Whether you’re here for a simple dental check-up or a specialized treatment, you’ll have the opportunity to explore the country’s majestic mountains, serene lakes, ancient temples, and vibrant local communities. Serenity combines world-class dental services with the adventure of discovering Nepal, ensuring that your journey is as rewarding as your smile.

Packages

Everest Smile Elevation Package

Includes: Comprehensive dental check-up, teeth cleaning, and whitening. Bonus: Enjoy an unforgettable scenic flight over Mount Everest, witnessing the world’s highest peak from above. Perfect for: Clients who want a quick yet luxurious dental refresh.

Our Services

Dentures

Dental Implants

Dental Surgery

Gum Health

Oral Hygiene Maintenance

Cosmetic Dentistry

Our Doctors

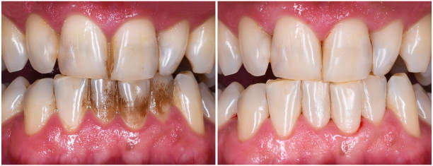
"Our Patients' Smile Journeys:
See the Difference"

Patient Testimonial